ダイレクトボンディングとは

ダイレクトボンディングとは、虫歯の箇所のみを最小限で削り、歯にセラミック粒子の入ったプラスチック素材の「レジン」を盛って、歯の色や形を再現する治療です。
当院ではラバーダム下により、接着力を高めることで再度虫歯になる可能性をできるだけ減らす治療を行っています。
この治療は、むし歯や歯の欠け、隙間などの修復に利用されるだけでなく、歯の色や形を美しく整えるためにも使用されます。
レジンは多様な色合いがあり、歯に合わせた色を選ぶことで、まるで本物の歯のような自然な仕上がりを実現します。また、その名の通り、直接歯に施術するため、比較的短時間で完了することが特徴です。
この技術は、歯を削る量が少なく、天然の歯をできるだけ保存しながら修復できるため、歯への負担が少ないことが大きなメリットです。さらに、他の補綴治療に比べて、歯科技工士による技工料がかからない治療であることからコストを抑えられるので、近年多くの患者様に選ばれています。
天然の歯のような仕上がりを目指せる
ダイレクトボンディングは、歯にセラミックとプラスチックを混ぜた素材を盛り、より自然な見た目で天然の歯のような自然な色や形を再現することができます。
従来のレジンでは、歯の複雑な質感や透明度を再現するのは困難でした。ところが近年、審美性に特化したプラスチックが開発されたことから、患者様の好みの色調を再現できるようになり、より天然の歯に近い仕上がりを目指せるようになっています。
当院ではカウンセリングや治療計画の際に、何度も話し合いをして患者様の理想の色調を目指してまいります。
こんな方におすすめ
以下のような悩みを持つ方に特におすすめです。
- 即日で治療を完了させたい方
- むし歯の治療痕を目立たないようにしたい方
- 歯の色を白く自然に整えたい方
- 歯を大きく削ることに抵抗がある方
- 歯の表面に小さな欠けがある方
- 前歯の隙間が気になる方
この治療は、軽度の欠けや変色、隙間を改善するのに非常に効果的です。特に、歯の審美性を重視される方や、できるだけ歯を削らずに治療を希望する方には最適な選択肢と言えます。
当院のダイレクトボンディング治療における特徴

当院の治療は、患者様の歯に最も適した仕上がりを追求するために、以下の特徴があります。
1. 豊富な色調の選択肢
当院では、患者様の歯の色に合った自然な色を再現するため、豊富なカラーバリエーションのレジンを使用しています。これにより、周囲の歯と調和する美しい仕上がりを提供します。
2. 精密な技術と審美性
高度な技術を持つ歯科医師が、細部にまでこだわって治療を行います。歯の形状や色調を丁寧に調整し、まるで本物の歯のような自然な仕上がりを実現します。
3. 即日で治療が完了
直接レジンを歯に適用するため、短時間で治療が完了する点も大きな魅力です。複数回の来院が必要な他の治療に比べ、患者様の負担を軽減します。
ダイレクトボンディング治療のメリット
ダイレクトボンディング治療には、以下のようなメリットがあります。
1. 歯を削る量が少ない
できるだけ歯を削らずに修復ができるため、天然の歯を多く残すことができます。これは歯の健康を長く保つために非常に重要です。
2. 自然な仕上がり
レジンの色を自由に調整できるため、周囲の歯と見分けがつかないほど自然な仕上がりが期待できます。特に前歯など目立つ部分の治療には最適です。
3. 短時間での治療
一度の来院で治療が完了する場合が多く、治療時間が短縮されるため、忙しい方にもおすすめです。
4. 比較的安価な治療
他の審美歯科治療に比べて費用が抑えられるため、経済的な負担を軽減することができます。
ダイレクトボンディング治療のデメリット
一方で、いくつかのデメリットも存在します。
1. 耐久性が劣る場合がある
レジン素材は経年劣化が起こりやすく、セラミックなどの他の素材に比べて耐久性がやや劣ることがあります。通常、数年後には補修が必要になることもあります。
2. 色の変化
レジンは、長期間にわたり着色することがあり、喫煙やコーヒー、紅茶などの嗜好品によって色が変わりやすい点があります。このため、定期的なメンテナンスが必要です。
3. 大きな欠損には不向き
ダイレクトボンディングは、比較的小さな欠損や隙間の修復には効果的ですが、大きな歯の欠損や大規模な修復には適していません。その場合、別の補綴治療が推奨されることがあります。
当院のダイレクトボンディング治療の流れ

当院では、以下の流れでダイレクトボンディング治療を行っております。
初診・カウンセリング
患者様のお悩みやご要望をお伺いし、最適な治療法をご提案いたします。また、現在の歯の状態を詳細に確認し、治療が適しているかどうかを判断します。
治療計画の立案
患者様の歯に合わせた治療計画を立て、使用するレジンの色や形状を決定します。
歯の準備と施術
必要に応じて、歯の表面を少しだけ整えます。次に、選定したレジンを丁寧に塗布し、光を当てて硬化させます。この際、細かな調整を行い、歯の形や色を自然に整えます。
仕上げと確認
レジンが硬化した後、歯の形を整え、磨きをかけて自然なツヤを出します。最後に、噛み合わせなどを確認して治療が完了します。
アフターケア
治療後は、定期的なメンテナンスを行うことで、長持ちさせることができます。日常のケアや食生活にも配慮し、きれいな状態を保つためのアドバイスを提供いたします。
ダイレクトボンディングは、自然な美しさを短時間で実現できる優れた治療法ですが、適切なケアが必要です。定期的なチェックを受けることで、より長く美しい歯を維持していただけます。
ダイレクトボンディングの症例
前歯のダイレクトボンディングの症例①
| 患者様の主訴 | 前歯の隙間を治したい |
|---|---|
| 診断結果 | 矯正は了承を得られずセラミックで治したいとの事だが削るのがもったいないとお話しダイレクトボンディングにて削らずに対応した方がいいと説明患者の了承を得た。 |
| 治療内容 | 削らずにエッチングのみで対応ダイレクトボンディングにて直接方にて詰めた。 | 治療後経過 | 経過良好 |
| 治療期間 | 1日 築成2日目に形態修正と表面性上付与 |
| 治療費用 | 40,000円(税抜)×2歯=80,000円(税抜) |
| リスク・副作用 |
セラミックに比べプラークリテンション(汚れが少しつきやすい) 食事やタバコにより変色する可能性がある。 |
Before

After

奥歯のダイレクトボンディングの症例①
| 患者様の主訴 | 銀歯を白くしたい。自分の歯と見分けがつかないようにしたい。 |
|---|---|
| 診断結果 | 銀歯の内部に虫歯を確認。また、天然歯に一点接触があり、削る量と費用を考慮してダイレクトボンディングを選択。 |
| 治療内容 |
・銀歯を除去 ・1日でラバーダムを使用し、接着を考慮した状態でダイレクトボンディングを実施 ・隣の天然歯に茶色いステインがあったため、それを再現するように着色して自然な見た目を実現 |
治療後経過 | 治療から10年経過。若干ツヤが失われたが、研磨にて対応。現在も良好に機能中。 |
| 治療期間 | 1日(48時間以降に研磨を実施) |
| 治療費用 | 4万円(税込) |
| リスク・副作用 |
・リスクは少ない ・セラミックと比べるとプラークが付きやすいが、銀歯よりは虫歯になりにくい |
Before

After

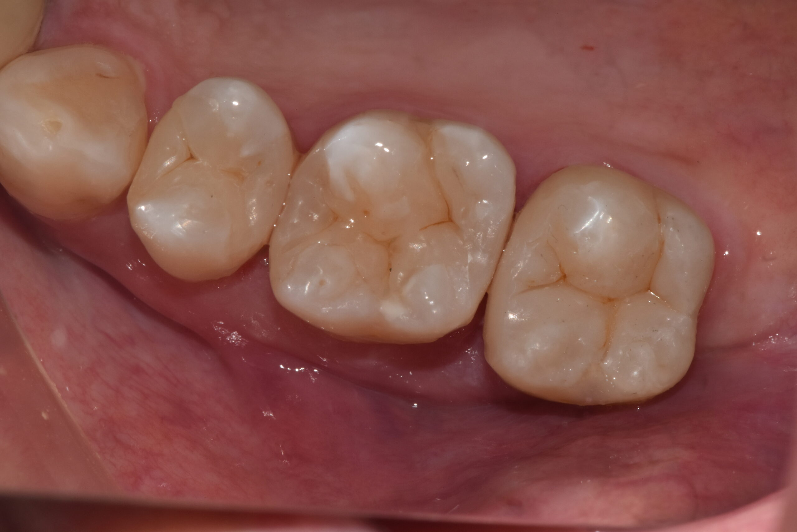
奥歯のダイレクトボンディングの症例②
| 患者様の主訴 | 歯の間にフロスが引っかかる |
|---|---|
| 診断結果 | 隣接面のみに虫歯があり、インレーだと大きく削る必要があるため、ダイレクトボンディングを選択 |
| 治療内容 |
・虫歯のある部分だけを最小限に削除 ・1日でダイレクトボンディングにて修復 ・48時間以降に研磨を実施 |
治療後経過 | 治療から8年経過。問題なく良好に経過している。 |
| 治療期間 | 1日(48時間以降に研磨) |
| 治療費用 | 4万円(税込) |
| リスク・副作用 |
・セラミックより削る量が少なく済む ・第一選択となる治療法 ・日々のフロス清掃で虫歯リスクの軽減が可能 |
Before

After

奥歯のダイレクトボンディングの症例③
| 患者様の主訴 | |
|---|---|
| 診断結果 | |
| 治療内容 | 治療後経過 |
| 治療期間 | |
| 治療費用 | |
| リスク・副作用 |
Before

After

奥歯のダイレクトボンディングの症例④
| 患者様の主訴 | |
|---|---|
| 診断結果 | |
| 治療内容 | 治療後経過 |
| 治療期間 | |
| 治療費用 | |
| リスク・副作用 |
Before

After

インプラントへのダイレクトボンディングの症例①
| 患者様の主訴 | 抜歯部位にインプラントを行いたい |
|---|---|
| 診断結果 |
・インプラント埋入後、再介入しやすくするためスクリューリテイン(ネジ式)を選択 ・ホール(ネジ穴)が見えることがデメリットだが、ダイレクトボンディングで目立たなく修復 |
| 治療内容 |
・最終補綴後、ネジ穴にテフロンテープを充填 ・その上からダイレクトボンディングにて自然な歯の形態を再現 |
治療後経過 | 10年経過。特に問題なく使用中。わずかに金属との境目が変色してきたが、臨床的に大きな問題はなし。 |
| 治療期間 | 1日(ダイレクトボンディングのみ) |
| 治療費用 |
・当院で埋入したインプラント:無料 ・他院で埋入されたインプラント:3万円(税込) |
| リスク・副作用 |
・取り外し時にホールの位置が不明瞭になる可能性 ・ブラックライトによる確認が必要となる場合あり |

