First
初めての方へ
Feature
当院の特徴
Doctor
ドクター紹介
Guidance
診療案内
Guidance
診療案内
虫歯治療
根管治療
歯周病
審美歯科
ダイレクトボンディング
インプラント
入れ歯(義歯)
FGG
結合組織移植術(CTG)
小児歯科
矯正歯科
予防歯科・歯のクリーニング
ホワイトニング
親知らず抜歯
静脈内鎮静
顎関節治療
ラミネートベニア
歯ぎしり
いびき治療
スポーツマウスガード
歯髄温存療法
Price
料金表
Clinic
医院紹介
Access
アクセス
電話予約
LINE初診予約
WEB予約
First
初めての方へ
Feature
当院の特徴
Doctor
ドクター紹介
Guidance
診療案内
虫歯治療
根管治療
歯周病
審美歯科
ダイレクトボンディング
インプラント
入れ歯(義歯)
FGG
結合組織移植術(CTG)
小児歯科
矯正歯科
予防歯科・歯のクリーニング
ホワイトニング
親知らず抜歯
静脈内鎮静
顎関節治療
ラミネートベニア
歯ぎしり
いびき治療
スポーツマウスガード
Price
料金表
Clinic
医院紹介
Recruit
求人案内
Access
アクセス
TEL予約
LINE初診予約
WEB予約
Case
症例
HOME
症例
治療した歯も、天然歯と変わらない美しい仕上がりへ。
精密治療で、長く安心して使える状態を目指します。
※ラバーダム防湿下で精密に治療を行っています。
インプラント
ダイレクトボンディング
審美治療
【テーブルトップアンレー】
失活歯でも歯質を守りながら噛める状態へ
Before
After
症例の詳細を見る
【e.max】
外れた銀歯と虫歯をセラミックで整えた
Before
After
症例の詳細を見る
【セラミック】
自然な白さと透明感を取り戻した
Before
After
症例の詳細を見る
【セラミック】
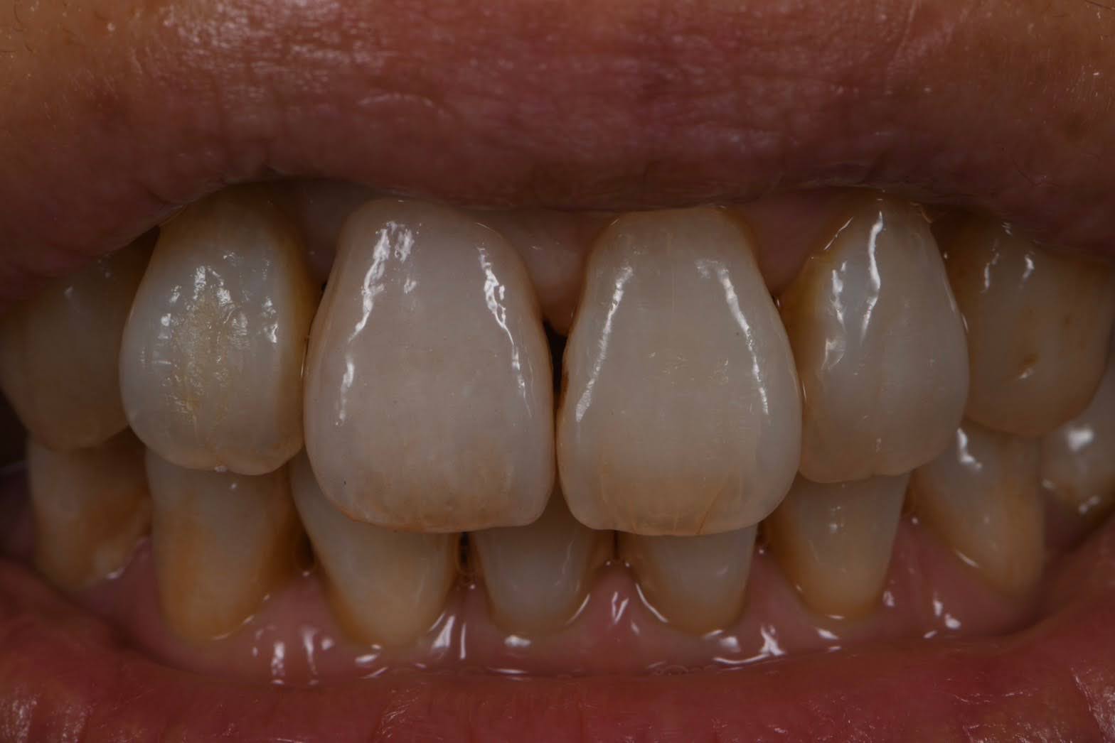
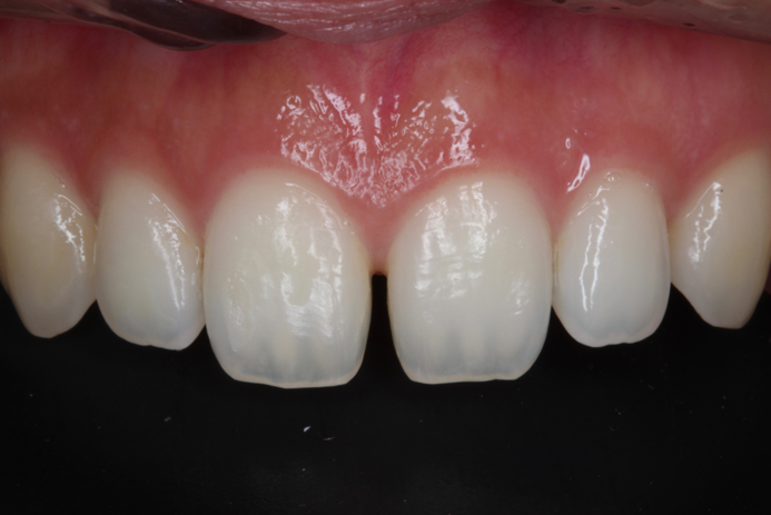
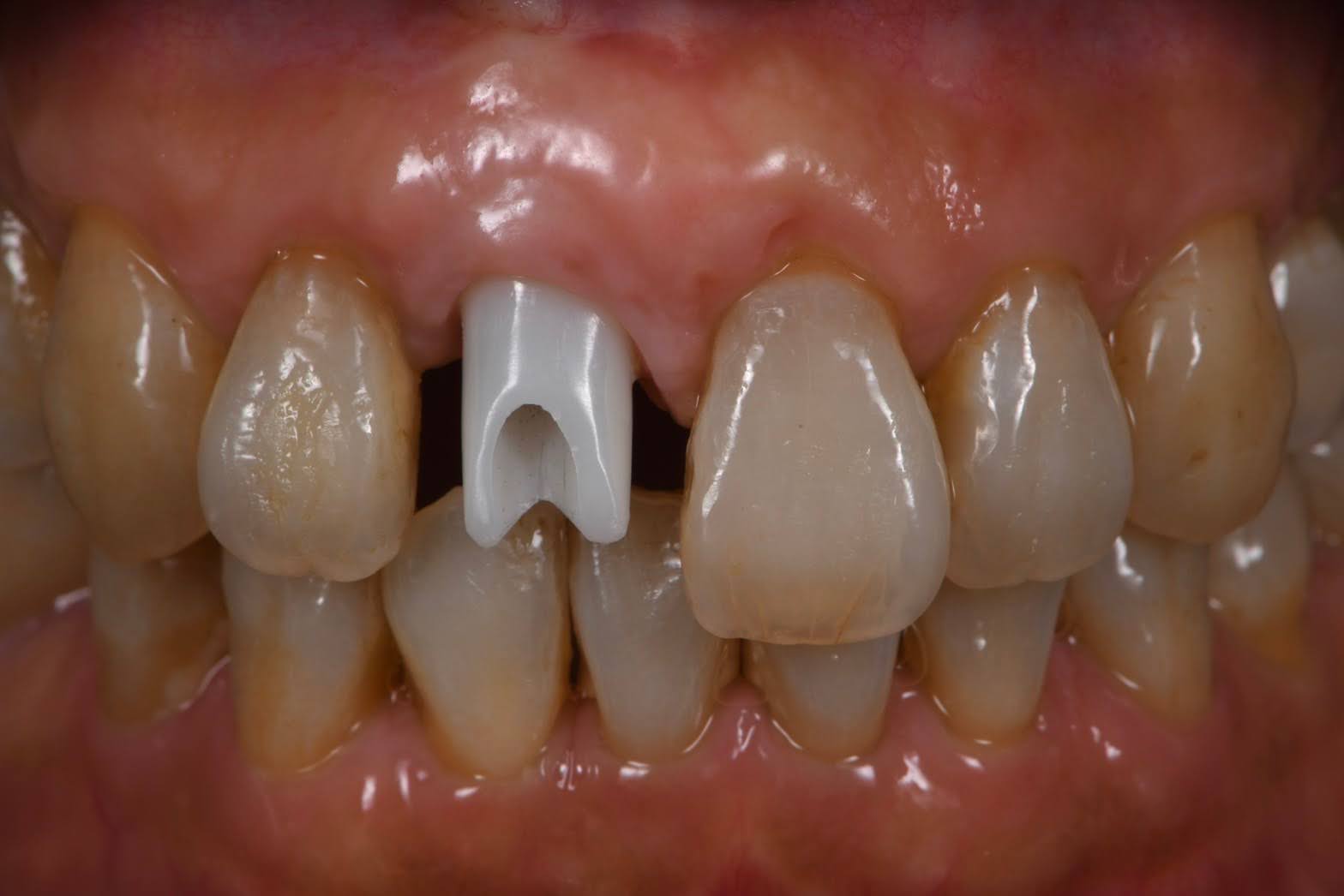
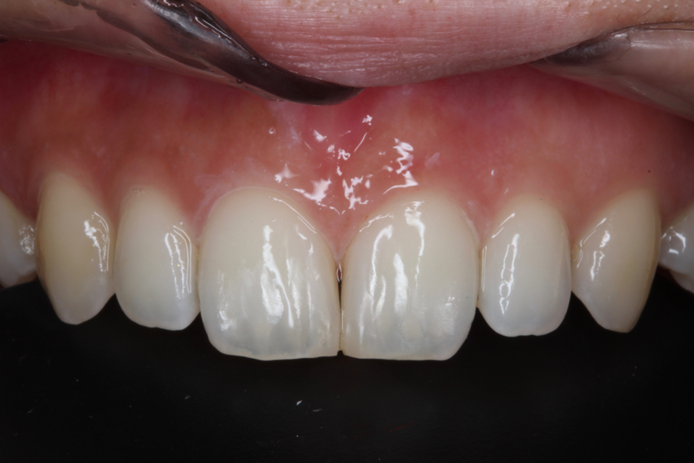
自然な色調と歯肉ラインを整えたケース
Before
After
症例の詳細を見る
【インプラントへのダイレクトボンディング】
インプラントの歯を自然に仕上げた症例
Before
After
症例の詳細を見る
【ダイレクトボンディング】
削る量を最小限に
Before
After
症例の詳細を見る
【ダイレクトボンディング】
削る量を最小限に
Before
After
症例の詳細を見る
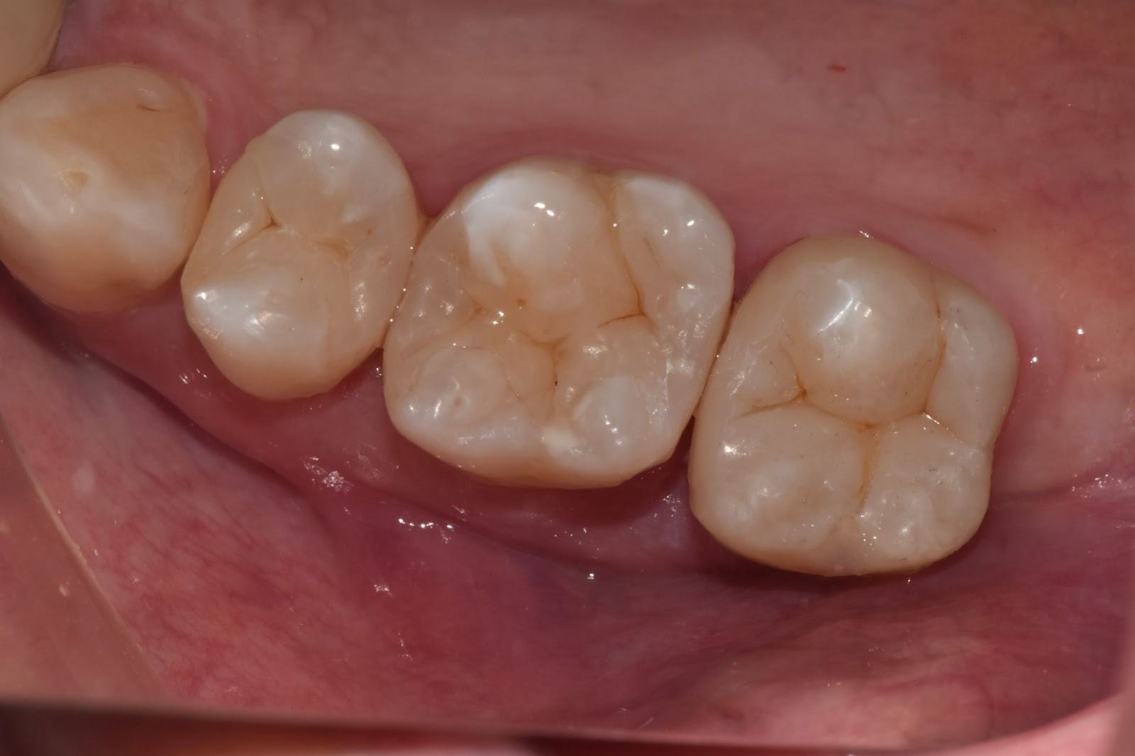
【奥歯のダイレクトボンディング】
削る量を最小限に
Before
After
症例の詳細を見る
【ダイレクトボンディング】
前歯の審美修復
Before
After
症例の詳細を見る
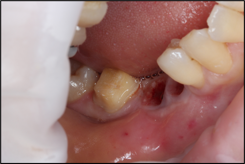
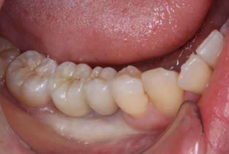
【インプラント】
奥歯欠損に対するインプラント治療
Before
After
症例の詳細を見る
【インプラント】
前歯を失った症例
Before
After
症例の詳細を見る